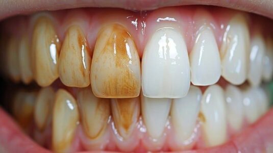
¿Qué es el sarro dental?
El sarro dental (también llamado cálculo dental) es una capa dura que se forma sobre los dientes cuando no se elimina correctamente la placa bacteriana.
Una vez que se convierte en sarro, no se quita con el cepillado y solo puede ser eliminado por un dentista con una limpieza dental profesional.
¿Cómo se forma el sarro?
1. En la boca tenemos bacterias que, al mezclarse con restos de comida y saliva, forman una película pegajosa sobre los dientes: la placa bacteriana.
2. Si no se retira adecuadamente (con buen cepillado e hilo dental), en 24 a 72 horas empieza a endurecerse.
3. Esto sucede porque la saliva contiene minerales como calcio y fosfato, que se depositan en la placa y la mineralizan, formando el sarro.
¿Por qué es un problema?
El sarro no solo afecta la estética dental.
Si se acumula por mucho tiempo, puede provocar:
• Mal aliento
• Inflamación de encías
• Pérdida de hueso dental
• Movilidad en los dientes
Además, su superficie rugosa atrae más placa y bacterias, empeorando el problema.
¿Cómo evitar el sarro?
Aunque el sarro se forma rápido, sí se puede prevenir.
Te recomendamos:
✅ Cepillarte correctamente después de cada comida
✅ Usar hilo dental una vez al día
✅ Evitar fumar (el tabaco favorece su formación)
✅ Acudir a una limpieza dental profesional cada 6 meses
En resumen
El sarro es el resultado de placa bacteriana que no se eliminó a tiempo.
No es mugre: es una capa mineralizada que solo se elimina en consultorio.
Prevenirlo está en tus manos.
La clave está en la higiene diaria y las limpiezas periódicas.
📚 Referencia científica principal:
Akcalı A, et al. Formation and inhibition of dental calculus. J Clin Periodontol. 2017;44(Suppl 18):S150–S163.
📅 ¿Te toca limpieza?
Agenda tu cita con nosotros.

